HBA Dental Clinic

Diş Taşı Temizliği Ne Kadar Sürer? Acıtır mı? İzmir’de Merak Edilenler

Diş Taşı Temizliği Ne Kadar Sürer? Acıtır mı? İzmir’de Merak Edilenler

Diş taşı temizliği, ağız kokusu ve diş eti kanaması gibi şikâyetlerin en sık çözümlerinden biridir. Peki işlem ne kadar sürer, acıtır mı ve hangi sıklıkla yapılmalıdır? Bu rehberde net cevaplar veriyoruz.

HBA Dent Yazar: Dt. Hayati Burçin Akbaş
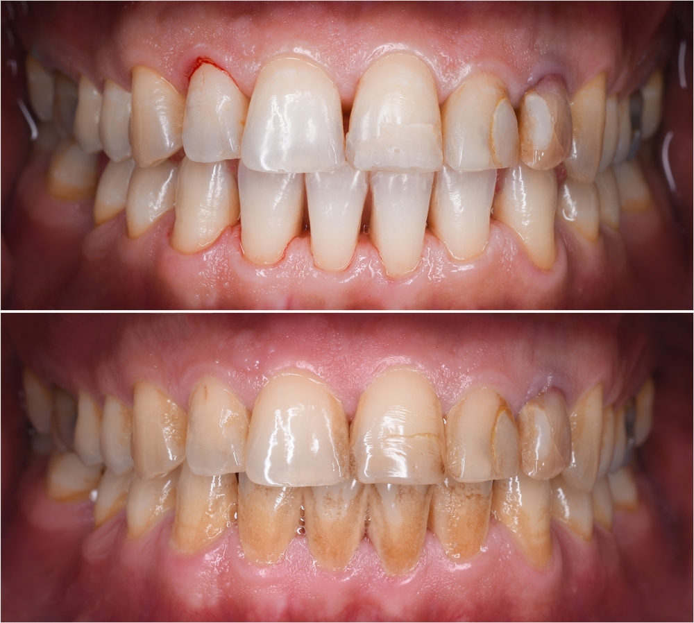
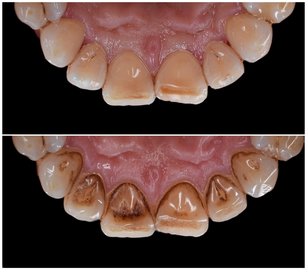
Diş taşı temizliği İzmir

Diş taşı (tartar), dişlerin üzerinde biriken plağın zamanla sertleşmesiyle oluşur. Evde fırçalama ve diş ipiyle plak azaltılabilir, ancak sertleşmiş diş taşı evde temizlenemez. Bu yüzden düzenli diş taşı temizliği; diş eti sağlığını korumak, ağız kokusunu azaltmak ve uzun vadede diş kaybı riskini düşürmek için kritik bir adımdır.

Diş Taşı (Tartar) Nedir? Neden Oluşur?

Plak, diş yüzeyinde oluşan bakteri tabakasıdır. Düzenli temizlenmezse mineralleşir ve diş taşına dönüşür. Diş taşı; özellikle diş eti hattında birikir ve diş eti iltihabını kolaylaştırır.

  • Düzenli fırçalama/diş ipi alışkanlığının zayıf olması
  • Sigara kullanımı
  • Çay-kahve tüketimi
  • Yetersiz su tüketimi ve ağız kuruluğu
  • Çapraşıklık / zor temizlenen bölgeler
Diş taşı neden olur ve nasıl temizlenir?
Diş taşı en sık diş eti hattında birikir; erken temizlik diş eti sorunlarını önlemeye yardımcı olur.

Diş Taşı Temizliği Ne Kadar Sürer?

Süre; diş taşı miktarına, diş eti hassasiyetine ve temizlenecek alanın genişliğine göre değişir. Genel olarak:

  • Hafif birikim: 15–25 dakika
  • Orta seviye birikim: 25–40 dakika
  • Yoğun birikim / diş eti hassasiyeti: 40–60 dakika

Bazı hastalarda diş eti cebi varsa “derin temizlik” (küretaj) planlanabilir; bu işlem farklı bir protokoldür ve seans sayısı değişebilir.

Diş Taşı Temizliği Acıtır mı?

Çoğu kişi için diş taşı temizliği rahatsızlık düzeyi düşük bir işlemdir. Ancak aşağıdaki durumlarda hassasiyet artabilir:

  • Diş etlerinde iltihap ve kanama varsa
  • Dişlerde genel hassasiyet varsa
  • Çok yoğun diş taşı birikimi varsa
  • Diş eti çekilmesi nedeniyle kök yüzeyleri açıktaysa

Bu gibi durumlarda işlem daha konforlu olsun diye hekiminiz uygun yaklaşımı planlar (kısa molalar, hassas bölgelerde daha nazik uygulama vb.).

Diş taşı temizliği acıtır mı?
Hassasiyet kişiden kişiye değişir; diş eti iltihabı ve yoğun birikim varsa rahatsızlık artabilir.

Diş Taşı Temizliği Sonrası Nelere Dikkat Edilmeli?

  • İlk 24 saat aşırı sıcak/soğuk hassasiyeti olabilir; geçicidir.
  • Çay, kahve ve sigara tüketimini ilk gün azaltmak iyi olur.
  • Diş ipi / arayüz fırçası ile bakım rutini güçlendirilmelidir.
  • Eğer diş eti kanaması varsa birkaç gün içinde belirgin azalma beklenir.

Diş Taşı Temizliği Diş Minesine Zarar Verir mi?

Bu, İzmir’de en çok sorulan sorulardan biri. Doğru uygulama ile diş taşı temizliği diş minesine zarar vermez. Aksine diş taşı birikimi, diş eti sağlığını bozarak daha büyük sorunlara zemin hazırlar.

Ne Sıklıkla Yapılmalı?

Genel yaklaşım çoğu kişide 6 ayda bir kontrol ve temizlik planlamaktır. Ancak sigara kullanımı, diş eti hastalığı, yoğun diş taşı oluşumu gibi durumlarda bu süre 3–4 aya kadar kısalabilir.

Sonuç

Diş taşı temizliği; kısa süren, çoğu kişide konforlu geçen ve ağız sağlığı için büyük fark yaratan bir işlemdir. Diş eti kanaması, ağız kokusu veya “dişlerimde pütür hissi” gibi şikâyetleriniz varsa, gecikmeden değerlendirme yapılması en doğru adımdır.

Dt. Hayati Burçin Akbaş
Dt. Hayati Burçin Akbaş
Genel Diş Hekimliği • Koruyucu Ağız Bakımı

Urla’da düzenli kontrol ve profesyonel temizlikle diş eti sağlığını korumaya odaklanır.

Sık Sorulan Sorular

Diş taşı temizliği sonrası dişlerim aralanır mı?

Dişler aralanmaz; diş taşları boşlukları dolduruyor olabilir. Temizlik sonrası gerçek diş yüzeyi ortaya çıkar ve “aralanmış gibi” hissedilebilir.

Diş taşı temizliği dişleri beyazlatır mı?

Bu işlem diş üzerindeki tartar ve yüzey lekelerini temizler; dişlerin daha temiz ve parlak görünmesini sağlar. Kalıcı beyazlatma için ayrı tedavi gerekir.

Diş taşı temizliği ne kadar sıklıkla yapılmalı?

Çoğu kişi için 6 ayda bir uygundur. Diş taşı hızlı oluşuyorsa veya diş eti sorunu varsa hekim daha sık kontrol önerebilir.

en_USEnglish